Le Vietnam n’a enregistré aucun cas de variole du singe

Le Vietnam n’a recensé jusqu’à présent aucun cas de variole du singe mais n’est pas épargné des risques d’infiltration de la maladie qui a frappé plus de 16.836 personnes dans 74 pays.
Hanoi (VNA) – Le Vietnam n’a recensé jusqu’à présent aucun cas de variole du singe mais n’est pas épargné des risques d’infiltration de la maladie dont la flambée actuelle a incité l’Organisation mondiale de la santé (OMS) à déclencher samedi 23 juillet son plus haut niveau d’alerte, selon le ministère de la Santé.
Le Vietnam n’a enregistré aucun cas de variole du singe ảnh 1La vice-ministre de la Santé, Nguyên Thi Liên Huong lors de la visioconférence, le 24 juillet. Photo : moh.gov.vn

S’exprimant lors d’une visioconférence tenue dimanche 24 juillet, la vice-ministre de la Santé, Nguyên Thi Liên Huong, a proposé de "concentrer les capacités sur les surveillances épidémiologiques" aux frontières et dans les établissements de santé des 63 provinces et villes.

"Il nécessite également de construire des scénarios de réponse aux situations avec des cas de contamination signalés, des cas importés et des transmissions communautaires en vue d’un traitement et d’une rispose rapides", a-t-elle déclaré.

Le Vietnam est actuellement classé par l’OMS dans le groupe des pays exempts de maladie, mais depuis début mai, quand elle a été détectée en dehors des pays africains où elle est endémique, la zoonose a frappé plus de 16.836 personnes dans 74 pays.

Le chef de l’OMS, le Dr Tedros Adhanom Ghebreyesus, a décidé samedi 23 juillet de déclencher une "Urgence de santé publique de portée internationale" (USPPI) pour ce qui concerne l’éruption de variole du singe, la 7e fois que l’OMS a recours à ce niveau d’alerte.
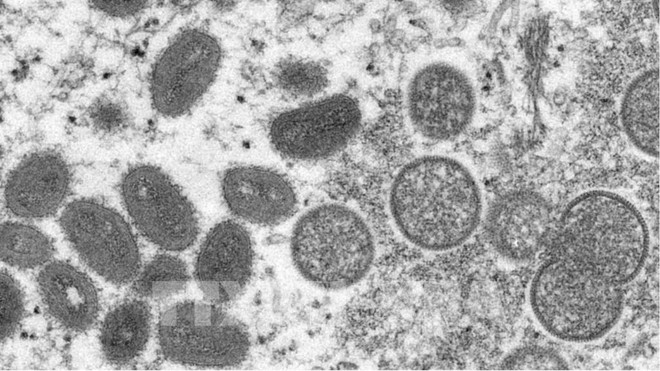
Le Vietnam n’a enregistré aucun cas de variole du singe ảnh 2La variole du singe est causée par l’orthopoxvirus simien, qui appartient au genre Orthopoxvirus de la famille des Poxviridés. Photo : AP/VNA

La qualification d’USPPI est utilisée dans des situations "graves, soudaines, inhabituelles ou inattendues". Elle est définie par l’OMS comme un "évènement extraordinaire" dont la propagation constitue un "risque pour la santé publique dans d’autres Etats" et pouvant nécessiter "une action internationale coordonnée".
La variole du singe est causée par l’orthopoxvirus simien, qui appartient au genre Orthopoxvirus de la famille des Poxviridés. Elle se manifeste généralement par de la fièvre, des éruptions cutanées et un gonflement des ganglions lymphatiques et peut entraîner toute une série de complications médicales.
Le Dr Tedros a souligné qu’à l’heure actuelle, "cette flambée est concentrée parmi les hommes qui ont des relations sexuelles avec des hommes, et en particulier ceux qui ont des partenaires multiples, ce qui veut dire qu’elle peut être stoppée avec les bonnes stratégies dans le bon groupe".
"Il est essentiel que tous les pays travaillent étroitement avec les communautés d'hommes qui ont des relations sexuelles avec des hommes" pour leur fournir assistance et informations, a insisté le patron de l’OMS. - VNA


Voir plus

Le Vietnam compte actuellement environ 140.000 à 150.000 infirmières, soit environ 14 à 15 infirmières pour 10.000 habitants. Photo: laodong.vn

Le Vietnam a besoin de plus d’infirmières et d’infirmières mieux formées

Le Portai du gouvernement s’est entretenu avec le Dr Vuong Anh Duong, directeur adjoint du Département de l’administration des services médicaux du ministère de la Santé, au sujet de la pénurie d’infirmières, tant en nombre qu’en termes de structure professionnelle et de qualifications, par rapport aux besoins réels et aux normes régionales et internationales.

Interdiction totale de fumer au Vietnam : de nouvelles zones concernées. Photo: nhandan.vn

Interdiction totale de fumer au Vietnam : de nouvelles zones concernées

Malgré de nombreux efforts et des résultats initiaux encourageants dans la prévention et la lutte contre les effets nocifs du tabac, le Vietnam demeure aujourd’hui l’un des quinze pays affichant le taux de tabagisme masculin adulte le plus élevé au monde. Le tabagisme, outre son rôle majeur dans la mortalité prématurée, représente également une menace croissante pour l’environnement.

Une équipe chirurgicale de l’Hôpital universitaire de médecine et de pharmacie de Hô Chi Minh-Ville réalise une greffe cardiaque. Photo : VNA

Les techniques de greffe d’organes du Vietnam se rapprochent des pays les plus avancés

Placée sous le thème «Le rôle de la chirurgie et de la transplantation d’organes à l’ère de la mondialisation», la conférence s’est concentrée sur des domaines clés tels que la transplantation d’organes, la chirurgie hépatobiliaire, la chirurgie cardiovasculaire et thoracique, l’urologie, la gastro-entérologie, l’obstétrique et la gynécologie, la traumatologie orthopédique et la cicatrisation.

L’épouse du SG To Lam (centre) visite l’Hôpital pour enfants Evelina London. Photo: VNA

L’épouse du SG To Lam visite l’Hôpital pour enfants Evelina London

Dans le cadre de la visite officielle du secrétaire général du Parti communiste du Vietnam (PCV) To Lam au Royaume-Uni, son épouse, Ngo Phuong Ly, a rendu visite à l’Hôpital pour enfants Evelina London, l’un des établissements pédiatriques les plus modernes et réputés du pays.

Plus de 90 % des infrastructures, notamment l'électricité, l'approvisionnement en eau, les systèmes de sécurité et de communication, ont été achevés pour la Foire d'Automne 2025. Photo: VNA

Foire d’Automne 2025: le CDC Hanoi travaille à la sécurité épidémiologique

Le Centre de contrôle des maladies de Hanoi (CDC Hanoi) a élaboré et mis en œuvre un plan de prévention et de contrôle épidémiologiques, de protection de la santé et de la sécurité des personnes pendant la Foire d’Automne 2025, du 25 octobre au 4 novembre, au Centre d’exposition du Vietnam (VEC), à Hanoi.

Le Premier ministre Pham Minh Chinh visite des patients soignés à l’Hôpital d’oncologie de Cân Tho. Photo : VNA

Le PM Pham Minh Chinh inspecte et dirige la levée des obstacles à Cân Tho

Le Premier ministre Pham Minh Chinh a inspecté dimanche 19 octobre le déroulement des procédures administratives et le fonctionnement du système d’administration locale à deux niveaux et examiné le projet d’hôpital d’oncologie de Cân Tho, dont la construction est suspendue depuis des années ; et a visité un ensemble de logements sociaux à Cân Tho.

Une sage-femme prend un bébé dans ses bras sous le regard attentif de sa mère. Photo: VNA

Les sages-femmes villageoises en route pour éliminer des coutumes désuètes

Dans de nombreux villages reculés, autrefois liés à des coutumes ancestrales telles que les accouchements à domicile, les rituels spirituels et les pratiques post-partum restrictives, des changements positifs apparaissent grâce au dévouement des sages-femmes villageoises qui offrent des accouchements et des soins maternels plus sûrs aux femmes des hautes terres.

Trân Câm Tu, membre du Bureau politique et permanent du Secrétariat du Comité central du Parti communiste du Vietnam (PCV), s'exprime lors de la réunion. Photo: VNA

Appel à un financement durable de la santé

Trân Câm Tu, membre du Bureau politique et permanent du Secrétariat du Comité central du Parti communiste du Vietnam (PCV), a présidé ce vendredi 10 octobre à Hanoi une séance de travail avec le Comité du Parti du ministère de la Santé, en présence de représentants des organes concernés.

Nguyen Thi Tuyen, vice-présidente du Comité central du Front de la Patrie du Vietnam (VFF) et présidente de l'Union des femmes vietnamiennes (droite) et Silvia Danailov, représentante de l'UNICEF au Vietnam. Photo : VNA

Le Vietnam appelle à un renforcement du partenariat avec l'UNICEF pour la protection de l'enfance et l'égalité des sexes

Nguyen Thi Tuyen, vice-présidente du Comité central du Front de la Patrie du Vietnam (VFF) et présidente de l'Union des femmes vietnamiennes, a appelé à une collaboration accrue entre le Fonds des Nations Unies pour l'enfance (UNICEF) et les organisations politiques et sociales vietnamiennes afin de développer des programmes complets de protection et de soins de l'enfance.

17.000 femmes de moins de 35 ans ayant eu au moins deux enfants bénéficient d’un soutien financier conformément aux résolutions 40/2024/NQ-HDND et 32/2025/NQ-HDND du Conseil populaire de Hô Chi Minh-Ville. Photo: VNA

Faible taux de natalité : Hô Chi Minh-Ville intensifie ses politiques de soutien

Hô Chi Minh-Ville figure parmi les 21 villes et provinces du pays affichant un faible taux de natalité. Les statistiques du rapport annuel 2024 indiquent que le nombre moyen d’enfants par femme en âge de procréer est de 1,43. Bien que la ville bénéficie encore du « dividende démographique », avec une population active représentant 70,7 %, elle fait face à un vieillissement rapide : plus de 1,46 million de personnes âgées, soit 10,49 % de la population totale.

La Dr Angela Pratt, représentante de l’OMS au Vietnam. Photo : VGP

Le Vietnam place la santé au cœur de l’action climatique

Le Vietnam et trois agences des Nations Unies ont réaffirmé leur engagement commun à placer la santé au cœur de l’action climatique, en veillant à ce que les politiques climatiques protègent les vies, renforcent la résilience et ne laissent personne de côté.

Photo : Hôpital général Tâm Anh

Le Vietnam détient un premier record asiatique en fécondation in vitro

L’Hôpital général Tâm Anh de Hô Chi Minh-Ville a été reconnu par l’Asian Records Organisation (ABR) comme le premier hôpital d’Asie à développer un système «laboratoire dans un laboratoire» pour la manipulation de gamètes et la culture d’embryons dans le domaine de la fécondation in vitro.

Jenifer Horton, représentante adjointe de l'Organisation mondiale de la Santé (OMS) au Vietnam. Photo: Vietnam+

Le Vietnam progresse en matière de sécurité des patients

Le Vietnam a considérablement amélioré la sécurité des patients pour tous les groupes d'âge. Le ministère de la Santé a intégré la sécurité des patients au plan d'action national visant à améliorer la gestion de la qualité des services médicaux, a déclaré Jenifer Horton, représentante adjointe de l'Organisation mondiale de la Santé (OMS) au Vietnam.